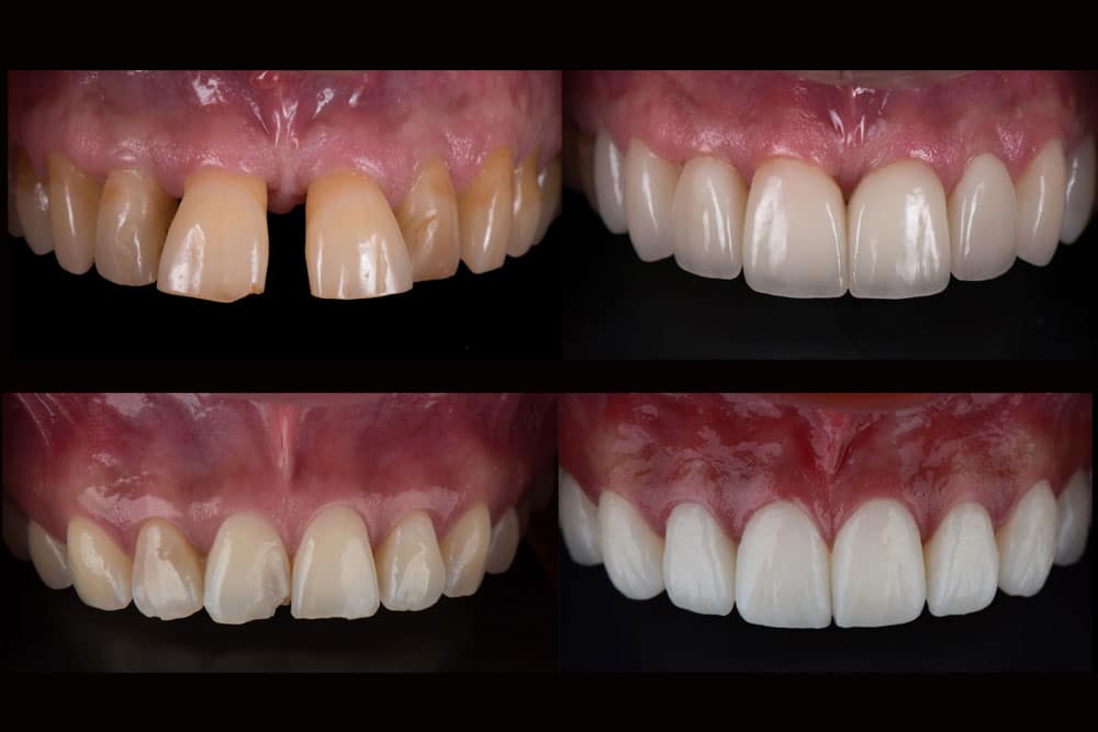
If you want to improve your smile, dental veneers are a simple option. Veneers are thin coverings that are placed over the front (visible) part of the tooth. They look like natural teeth.
Veneers can be used to correct a wide range of dental issues, such as:
- Teeth that are stained and can’t be whitened by teeth whitening
- Chipped or worn teeth
- Crooked or misshapen teeth
- Uneven spaces or a large gap between the upper front teeth
Veneers are made of either porcelain or composite resin material. Dr. Asil will help you choose the material that is best for you. Each type of veneer has its own pros and cons.

